Lunes, jueves y viernes de 8:00 ha 16:00 h

Martes y miércoles de 8:00 ha 19:00 h.

+ 34 93 212 47 37

clinica@birbe.org

Calle Lincoln, 29

08006 Barcelona

 

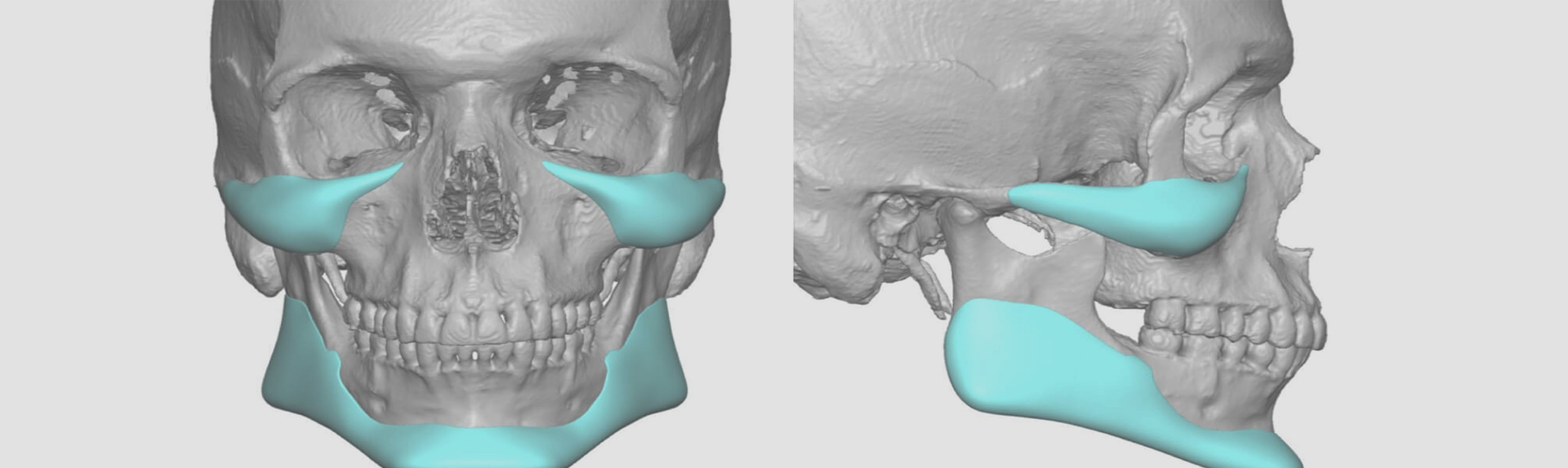
Implantes Faciales

Aumento facial preciso, estable y completamente reversible

Los implantes faciales permiten aumentar y definir zonas específicas del rostro de forma estable, natural y con posibilidad de reversión en caso necesario. Son una alternativa ideal a los rellenos infiltrados, ya que no se reabsorben, mantienen el volumen a largo plazo y pueden retirarse si el paciente desea un cambio en el futuro.

Se utilizan para armonizar y mejorar el contorno facial en áreas como:

Pómulos  Ángulo y contorno mandibular  Zona paranasal  Frente

Tipos de Implantes Faciales

Implantes de Silicona

Los implantes de silicona son prefabricados, pero pueden modelarse para ajustarse a la anatomía de cada paciente.
Características:

Se colocan sobre el hueso y bajo el músculo
Se fijan con microtornillos para máxima estabilidad
Se introducen a través de pequeñas incisiones internas (sin cicatrices externas)
Efecto inmediato y recuperación rápida (2–3 días)

Son una opción fiable, versátil y con muy buena tolerancia.

Implantes de PEEK (Personalizados 3D)

Los implantes de PEEK representan el nivel más alto de personalización.

Fabricados a medida para cada paciente mediante:

1 Escáner o TAC facial
2 Planificación digital del volumen a aumentar
3 Diseño anatómico asistido por simulación fotográfica
4 Impresión 3D del implante exacto

Ventajas:

Ajuste anatómico perfecto
Máxima simetría y precisión
Integración natural con la estructura facial
Colocación estable bajo el músculo y sobre el hueso
Acceso intraoral sin cicatrices
Recuperación rápida (2–3 días)

Es la opción más precisa y avanzada disponible hoy en día.

Implantes Faciales

¿Qué beneficios ofrecen los Implantes Faciales?

Aumento estable y duradero
Resultados inmediatos
Recuperación rápida (2–3 días de inflamación)
Procedimiento reversible
Gran precisión anatómica, especialmente con implantes personalizados
Acceso intraoral: sin cicatrices visibles

¿Por qué colocarse Implantes Faciales en Clínica Birbe?

En Clínica Birbe somos especialistas en diseñar rostros y equilibrar proporciones, ofreciendo resultados naturales y altamente estéticos.

Nuestro equipo, dirigido por el Dr. Joan Birbe y con más de 20 años de experiencia, trabaja con tecnología de vanguardia:

Simulaciones virtuales de cirugía facial
Escáneres intraorales y faciales
Implantes totalmente personalizados
Técnicas microquirúrgicas de alta precisión
Planificación digital 3D


Nuestro enfoque combina arte, ciencia y experiencia para lograr una armonía facial duradera y un resultado que se integra de forma natural con los rasgos del paciente.

Rellena el formulario y
¡te llamamos!















    La comunicación de sus datos será objeto de tratamiento por parte del Responsable del Tratamiento.
    Esta comunicación se utilizará exclusivamente para tratar sus datos para atender su solicitud,
    de acuerdo al Reglamento (UE) 2016/679 (RGPD) y la Ley Orgánica 3/2018 (LOPDGDD).
    Sus datos no se comunicarán a terceros salvo obligación legal.


    Puede ejercer sus derechos de acceso, rectificación, portabilidad y oposición en:
    C/ Lincoln 29, 08006 Barcelona – Teléfono: 932124737
    o email: clinica@clinicabirbe.org

    Testimonios

    "Tuve una experiencia extraordinaria Te hacen sentir completamente en confianza brindando unos resultados de excelencia Dr Birbe explica todo en detalle con mucha precisión, demostrando su amplia experiencia, y transmitiendo una alta confianza Estoy en procedimiento para realizarme la cirugía ortognatica, y la confianza que me trasmitió el dr Birbe y su gran equipo ha sido impecable, son altamente profesionales, cercanos, organizados, y atentos con el proceso."

    - Aline Mendes (Hace 8 meses)

    "Puedo decir que la clínica Birbe tiene un ambiente muy bueno y eso me hace sentir relajada, me siento a gusto, el personal es cercano y atento. También puedo decir que me siento en buenas manos pues el Dr. Birbe es excelente profesional y también como persona, lo he percibido desde el primer día que estuve allí. Gracias a todo el equipo por su amabilidad y apoyo. Sin duda alguna recomiendo la clínica Birbe al 100% Por fin, después de visitar varias clínicas di con la mejor. Las chicas en recepción son un amor y Martha es una chica muy linda, amable y atenta. La Dra. Campás es excelente."

    - Margarita Ruggiero (Hace un mes)

    "Me puse en contacto con la clínica Birbe en 2024. Tuve una consulta muy agradable, donde hablamos sobre mis posibles síntomas de apnea del sueño y los efectos de la ortodoncia de retracción, así como su impacto negativo en mi apariencia. El Dr. Birbe me impresionó mucho; fue empático, atento, comprensivo, honesto y sincero. Había encontrado el lugar ideal para mí, donde comenzaría y terminaría mi tratamiento de mandíbula. Sin duda alguna, había encontrado al médico y cirujano perfecto para mí. El Dr. Birbe y su equipo fueron increíbles. Tan amables, tan atentos y, sobre todo, tan hábiles y competentes. Llegó el día de la cirugía y todo salió según lo previsto. Afronté la situación con una actitud positiva y resiliente, lo cual me ayudó muchísimo. En los días posteriores a la cirugía, experimenté una rápida mejoría. Regresé a la clínica para las revisiones necesarias y todo estaba perfecto. De hecho, me dio un poco de pena volver al Reino Unido después de haber estado en un país tan hermoso con un personal tan atento en la clínica, especialmente el Dr. Birbe. Un verdadero caballero. Me siento muy afortunada de haberlo encontrado como mi cirujano. Regresé unas semanas después de la cirugía. Me repitieron el estudio del sueño y descubrí que la apnea del sueño había desaparecido. Ahora me encontraba dentro de los parámetros normales, habiendo pasado de un nivel moderado a grave antes de la cirugía. Este era el resultado deseado antes de la intervención, que se logró gracias a su planificación y habilidad quirúrgica. Recomiendo ampliamente al Dr. Birbe y a su excelente equipo, y de hecho ya lo he hecho con una querida amiga que se sometió recientemente a un procedimiento. Siempre estaré inmensamente agradecida al Dr. Birbe por todo lo que ha hecho por mí, por su profesionalismo y por ser simplemente excepcional."

    - Nick (Hace una semana)

    "Sin duda la mejor clínica dental y maxilofacial en Barcelona! Estudié Medicina con el Dr Birbe y ya sobresalia en las aulas. Un equipo 10 con dos Martas en recepción que són un amor! GRÀCIES"

    - Barceló Riera (Hace 3 meses)

    "Después de varios años de idas y venidas en distintas consultas de odontólogos en Barcelona acudimos a Clínica Birbe en busca de un diagnóstico sobre el problema maxilar que presentaba nuestro hijo. Nos dieron una explicación clara sobre el problema y su abordaje médico, nos transmitieron tranquilidad y confianza. Sin dudarlo, nos pusimos en sus manos y, tras una intervención complicada a manos del dr. Birbe, el resultado ha sido excepcional, con un postoperatorio sin dolor y una rápida recuperación. Para nosotros también fue importante que la clínica dispusiera de quirófano dentro de sus instalaciones, ninguna otra clínica dental de las que fuimos tenía quirófano propio. Tanto el doctor Birbe como la doctora Campas y el resto de su equipo son unos excelentes profesionales además de excelentes personas. Clinica Birbe es la mejor clínica dental de Barcelona tanto por su equipo profesional como por sus instalaciones."

    - Montse Antonijoan (Hace 3 meses)

    "Excelente servicio. Desde la primera llamada hasta la despedida. Me extrajeron una muela del juicio, la primera vez, y todos me trataron de maravilla, con gran profesionalidad. Respondieron a todas mis preguntas e inquietudes de forma clara y directa, y me sentí segura y en buenas manos durante toda la visita. ¡Si pudiera, les daría 10 estrellas!"

    - Elsa Lundeber (Hace 3 meses)

    Clínica Birbe

    Calle Lincoln, 29 08006 Barcelona

    Tel: +34 93 212 47 37

    WhatsApp: +34 626 852 363

     Horario laboral

    Dilluns, dijous i divendres de 8:00 h a 16:00 h

    Dimarts i dimecres de 8:00 h a 19:00 h.

    Parkings

    Aparcamientos Augusta: C/ Matilde Díez, 9-11.

    Parquing: C/ Sant Eusebi, 29-31.

    Parquing Madrazo: C/ Madrazo, 29.

    DR. JOAN BIRBE - CIRUJANO ORAL Y MAXILOFACIAL EN BARCELONA
    Resumen de privacidad

    Esta web utiliza cookies para que podamos ofrecerte la mejor experiencia de usuario posible. La información de las cookies se almacena en tu navegador y realiza funciones tales como reconocerte cuando vuelves a nuestra web o ayudar a nuestro equipo a comprender qué secciones de la web encuentras más interesantes y útiles.